CONTACTO

Maxilar Superior Adelantado: ¿Por qué ocurre y cómo corregirlo?

¿Alguna vez has sentido que tus dientes superiores están muy sobresalidos? O quizás, al mirarte de perfil, notas que tu labio superior sobresale mucho más que el inferior, creando un «abultamiento» facial marcado.

No es solo una cuestión de estética o de «dientes de conejo». En el consultorio, a esto lo llamamos técnicamente protrusión maxilar. Y aunque es una de las consultas más frecuentes en ortodoncia, la solución no siempre es tan simple como «poner brackets».

¿Qué es realmente el Maxilar Superior Adelantado?

Hablamos de un maxilar adelantado cuando el hueso que sostiene los dientes superiores ha crecido excesivamente hacia adelante en comparación con la mandíbula (maxilar inferior).

Sin embargo, aquí entra el razonamiento clínico clave:

El mito visual: Muchas veces, lo que parece un maxilar superior adelantado es, en realidad, una mandíbula inferior pequeña o retruida (retrognatia).

El ojo humano percibe la discrepancia (el espacio entre los dientes de arriba y los de abajo), pero el diagnóstico diferencial es vital. No tratamos igual un hueso que creció de más (maxilar) que uno que creció de menos (mandíbula).

Dientes salidos antes peru Dientes salidos después peru

En este caso, realizamos un abordaje en dos fases priorizando. Primero, utilizamos aparatología funcional para corregir la deglución atípica y la respiración oral. Una vez armonizada la función (respiración y deglución), procedimos con la fase de ortodoncia fija (brackets) para perfeccionar la posición dental.

A esta relación desajustada la clasificamos generalmente como una Maloclusión Clase II Esquelética.

Causas de los Dientes Adelantados: ¿Genética o Hábito?

Para entender cómo corregirlo, primero debemos saber el origen. Las fuerzas biomecánicas que moldean tu rostro vienen de dos fuentes:

  1. Factor Genético (Herencia): Si tus padres o abuelos tienen un perfil MUY convexo, es probable que la información genética haya dictado ese patrón de crecimiento óseo.
  2. Hábitos Miofuncionales (Adquirido):
    • Succión digital (chuparse el dedo): La presión constante del dedo empuja el maxilar hacia afuera y frena el crecimiento de la mandíbula.
    • Deglución atípica: Al tragar, si la lengua empuja contra los dientes frontales en lugar de apoyarse en el paladar, actúa como un aparato de ortodoncia natural… pero en tu contra, abanicando los dientes hacia adelante.
    • Respiración bucal: El maxilar se estrecha y se proyecta hacia adelante para «buscar aire», alterando toda la biomecánica facial.

Más allá de la estética: Los riesgos de no tratarlo

Tener el maxilar adelantado no es solo un problema estético en tu perfil. Biomecánicamente, conlleva riesgos serios para tu salud bucal:

Riesgo PrincipalExplicación Biomecánica (El Porqué)Consecuencias en el Paciente
Disfunción y Dolor CrónicoAl no haber contacto anterior, se pierde la «Guía Anterior». Las muelas reciben fuerzas laterales nocivas que comprimen el disco articular.Chasquidos, dolor de cabeza, tensión en cuello y asimetrías faciales progresivas (la mandíbula se desvía).
Traumatismo de IncisivosLos dientes «vuelan» fuera de la zona de seguridad. Sin el «efecto airbag» de los músculos orbiculares del labio.3 veces más riesgo de fractura o pérdida dental ante golpes leves o caídas (crítico en niños).
Gingivitis por Incompetencia LabialEl paciente no puede cerrar la boca (sellado labial) sin forzar. El aire seca la saliva, eliminando su función protectora y antibacteriana.Encías rojas, inflamadas y sangrantes crónicamente en la zona frontal, incluso con buena higiene.
Ineficacia MasticatoriaFallo en la «Guía Canina». Los dientes no cortan ni desgarran; el paciente se ve obligado a «aplastar» la comida.Digestión pesada y problemas gástricos, ya que el estómago recibe trozos de alimento mal procesados.
Impacto en AutoestimaLa prominencia dental altera la percepción del rostro y la sonrisa, afectando la seguridad personal.Cohibición al sonreír, taparse la boca con la mano y, en edad escolar, alta susceptibilidad al bullying.

Soluciones para los dientes salidos:

La Estrategia Clínica según la Edad

El tratamiento depende 100% de una variable biológica: ¿El paciente sigue creciendo o ya no?

1. En Niños y Adolescentes (Fase de Crecimiento)

Esta es la «ventana de oportunidad». Aquí podemos hacer Ortopedia Maxilar (tratar el hueso).

  • Frenar el maxilar: Utilizamos aparatos extraorales o dispositivos de anclaje que restringen el crecimiento hacia adelante del maxilar mientras permitimos que la mandíbula lo alcance.
  • Estimular la mandíbula: Si el problema real es una mandíbula pequeña, usamos aparatos funcionales que obligan al paciente a morder hacia adelante, estimulando la adaptación de la articulación temporomandibular (ATM).
Alteración facial en niños ortopedia maxilar

2. En Adultos (Sin Crecimiento Activo)

Como el hueso ya no crece, tenemos dos caminos biomecánicos:

A. Camuflaje de Ortodoncia (La opción conservadora)

Si la discrepancia es leve o moderada, movemos los dientes para «disimular» el problema esquelético.

  • Distalización con Microtornillos: Usamos pequeños «anclajes temporales «pernos de titanio» en el hueso para llevar toda la dentadura superior hacia atrás. Es la biomecánica más moderna y evita extracciones en muchos casos.
  • Extracciones terapéuticas: En casos donde falta espacio, extraemos premolares superiores para retraer el frente anterior y cerrar el espacio, reduciendo la convexidad del perfil y ENCAJANDO la mordida.
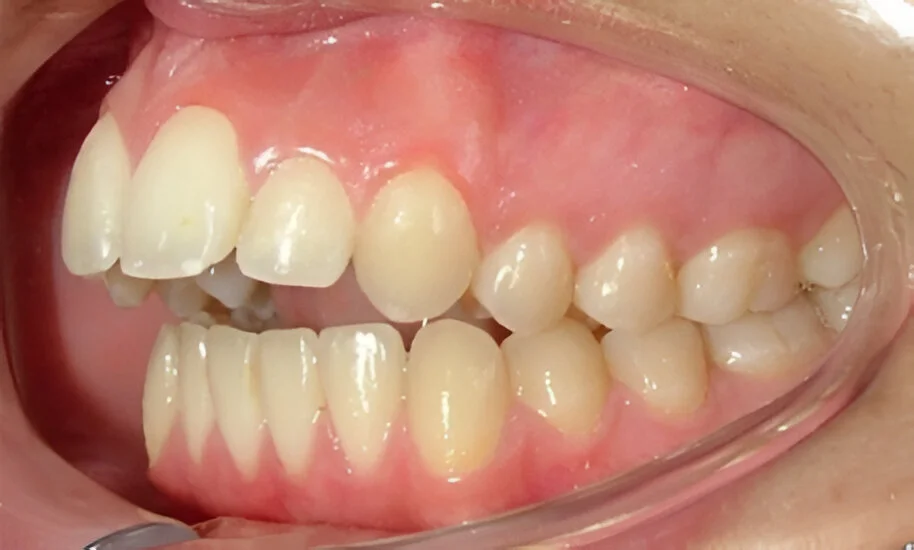
Mordida superior adelantada
Mordida abierta y dientes superiores MUY adelantados.
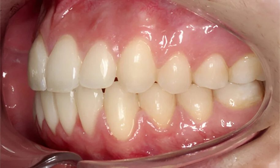
Mordida superior adelantada Solucionado
Se colocó minitornillos para «empujar» los dientes superiores para atrás.

B. Cirugía Ortognática (La solución definitiva)

Para casos severos donde el rostro y la oclusión están muy afectados y la ortodoncia sola no basta. Un cirujano maxilofacial reposiciona el hueso maxilar (cortándolo y moviéndolo) para relacionarlo con la mandíbula. Es un cambio de vida total, tanto funcional como estético.

Conclusión: El diagnóstico es el 90% del éxito

Tener el maxilar superior adelantado tiene solución, y la tecnología actual nos permite tratamientos cada vez menos invasivos, como los alineadores transparentes con biomecánica de distalización o el uso de anclaje esquelético.

No te conformes con esconder tu sonrisa. Lo que necesitas no es solo «mover dientes», es un análisis EXPERTO de tus proporciones faciales y una estrategia biomecánica personalizada.


¿Te gustaría una evaluación de tu perfil?

Si este artículo te ha resonado, es probable que sea el momento de analizar tu caso. Agenda una consulta diagnóstica para determinar si tu caso es dental o esquelético y trazar el plan ideal para ti.

Sobre el autor:

Picture of Dr Daniel Gregorio
Dr Daniel Gregorio
Es cirujano dentista de profesión con especialidad en Ortodoncia y Ortopedia maxilar RNE 1983. Cuenta con diversos cursos en el Perú y extranjero.

¿Tienes preguntas? Deja tu comentario y te ayudaremos.

¿Dudas? ¡Te respondemos! 👇

Solución Dental | Dentistas especialistas en Lince, Lima Perú
Resumen de privacidad

Este sitio web utiliza cookies para ofrecerte la mejor experiencia de usuario posible. La información de las cookies se almacena en tu navegador y realiza funciones como reconocerte cuando vuelves a nuestro sitio web y ayudar a nuestro equipo a comprender qué secciones del sitio web te resultan más interesantes y útiles.